Akdeniz anemisi taşıyıcılarının çocukları hastalıklı mı?
Akdeniz anemisi, genetik bir kan hastalığıdır ve taşıyıcıların çocuklarında hastalığın riski bulunmaktadır. Bu yazıda, taşıyıcı ebeveynlerin genetik durumlarının çocukları üzerindeki etkileri, tanı yöntemleri ve bilinçli ebeveynlik hakkında bilgiler sunulmaktadır.
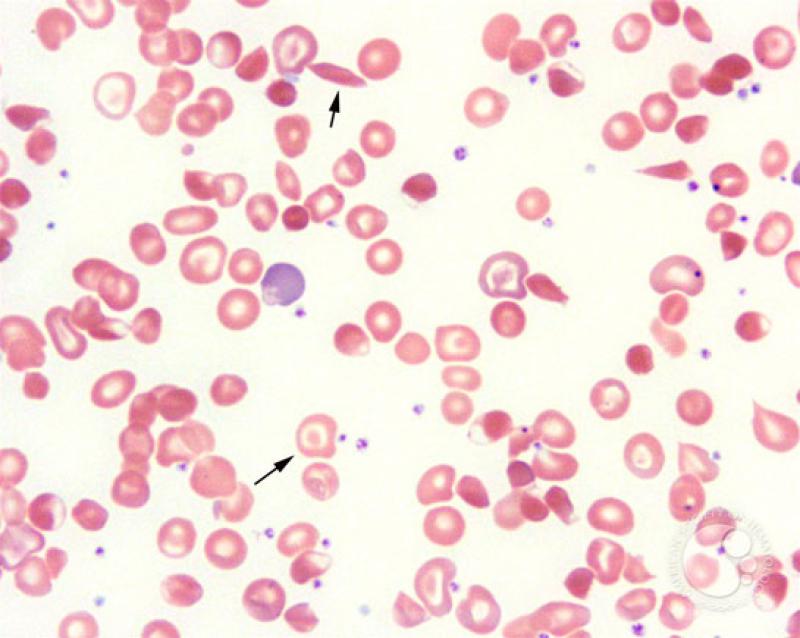
Akdeniz Anemisi Taşıyıcılarının Çocukları Hastalıklı mı?Akdeniz anemisi, tıbbi literatürde talasemi olarak da bilinen, genetik bir kan hastalığıdır. Bu hastalık, hemoglobin yapısında meydana gelen mutasyonlar sonucunda ortaya çıkar ve genellikle Akdeniz bölgesindeki insanları etkiler. Akdeniz anemisi taşıyıcıları, hastalığın genini taşımalarına rağmen genellikle sağlıklı bir yaşam sürerler. Ancak bu taşıyıcıların çocukları, hastalığın etkilerine maruz kalabilir. Akdeniz Anemisi ve Genetik Yapısı Akdeniz anemisi, genetik bir bozukluktur ve iki ana türü vardır: alfa-talasemi ve beta-talasemi. Her iki tür de hemoglobin üretiminde bozulmalara yol açar. Taşıyıcılar, bu genlerin yalnızca bir kopyasını taşırlar ve genellikle hastalığın klinik belirtilerini göstermezler. Ancak, eğer iki taşıyıcı birey evlenirse, çocukları hastalığı miras alma riski taşır. Taşıyıcıların Çocuklarında Hastalık Riski Akdeniz anemisi taşıyıcılarının çocuklarının hastalıklı olma durumu, genetik kombinasyonlara bağlıdır. Her iki ebeveyn de taşıyıcı olduğunda, çocukların genetik durumu şu şekildedir:
Akdeniz Anemisi Taşıyıcılığı ve Tanı Yöntemleri Akdeniz anemisi taşıyıcılığının belirlenmesi için çeşitli tanı yöntemleri kullanılmaktadır:
Sonuç ve Öneriler Akdeniz anemisi taşıyıcılarının çocuklarının hastalıklı olma riski, taşıyıcı ebeveynlerin genetik durumuna bağlıdır. Ebeveynlerin bilinçli olması ve genetik testler yaptırması, olası sağlık sorunlarının önlenmesi açısından önemlidir. Özellikle, taşıyıcı bireylerin eşleri ile birlikte genetik danışmanlık alması, hastalığın yönetiminde kritik bir adımdır. Bu makalede Akdeniz anemisi taşıyıcılarının çocuklarıyla ilgili genetik riskleri ve tanı yöntemlerini ele aldık. Daha fazla bilgi ve danışmanlık için sağlık profesyonellerine başvurulması önerilmektedir. |

.webp)








